DOI: https://doi.org/10.71440/2675-5610.10.4.25.530-533.art
Recebido: junho/2025
Revisado e aceito: julho/2025
Como citar:Barros LL, Urteaga VM, Salazar GB, Alberto W, Sá BCM, Skiba THI. Reconstrução óssea tridimensional em região posterior mandibular conforme a técnica de Khoury:2 anos de acompanhamento. ImplantNews 2025 Jul-Ago;10(4):530-3
1. Departamento de Implantodontia e Reabilitação Oral da SOEP – Porto Velho – RO
Endereço correspondência:
Lucas Lima
Av. Jorge teixeira, 3137
Liberdade – Porto Velho (RO)
CEP: 76803-895
Lucas Lima Barros,1 Vanessa Molina Urteaga,1 Gaddy Bonzano Salazar,1 Wolmar Alberto,1 Bruno Costa Martins de Sá,1 Tárcio Hiroshi Ishimine Skiba,1
Resumo
Neste relato de caso, uma paciente com 52 anos de idade compareceu à clínica, sendo diagnosticada com ausência posterior mandibular bilateral e mucosa alveolar extremamente delicada. O exame de tomografia computadorizada de feixe cônico (TCFC) evidenciou atrofia óssea extrema. Assim, optou-se pela realização de um protocolo cirúrgico em duas etapas: na fase 1, o enxerto gengival livre foi coletado da região palatina para espessamento tecidual e melhora do fenótipo gengival no aspecto mandibular. Na fase 2, a técnica de reconstrução óssea de Khoury foi aplicada, coletando-se lâminas de osso autógeno do ramo, fixadas por parafusos e preenchidas com osso autógeno. Após três meses de cicatrização, os implantes dentários foram instalados com torque final de inserção satisfatório (20 N·cm) e boa estabilidade primária. Após a instalação dos implantes dentários, para ganho de volume tecidual e diminuição da remodelação do tecido ósseo, foi realizada a colocação de enxerto ósseo xenógeno com colágeno (Extra Graft, Implacil Osstem). Finalmente, os implantes dentários foram reabilitados com próteses cerâmicas definitivas em zircônia monolítica após mais três meses de terapia. Aos dois anos de acompanhamento, uma nova TCFC foi realizada, demonstrando normalidade no local da cirurgia.
A sequência cirúrgica adotada resultou em ganho volumétrico significativo, promovendo uma base estável para a instalação dos implantes dentários e a recuperação funcional e estética da região. Este caso clínico reforça a eficácia da técnica de Khoury em associação com o preparo tecidual prévio como solução viável para casos de atrofia óssea severa na região mandibular posterior.
Palavras-chave: Implantes Dentários; Enxerto Ósseo Autógeno; Mandíbula Atrófica; Técnica de Khoury.
Three-dimensional bone reconstruction in the posterior mandibular region according to the Khoury technique: 2-year follow-up
Abstract
In this case report, a 52-year-old patient attending the dental clinic was diagnosed with bilateral posterior mandibular edentulism and an extremely thin residual alveolar mucosa. The cone-beam computed tomography (CBCT) exam revealed
extreme bone atrophy. Therefore, a two-step surgical protocol was selected: in the first phase, a free gingival graft was harvested from the palatal region for tissue thickening and improvement of the gingival phenotype on the mandibular
aspect. In the second phase, the bone reconstruction technique proposed by Khoury was performed by harvesting autogenous bone plates from the ramus, securing them with fixation screws and filling the gap with particulate autogenous bone.
After three months of healing, the dental implants were placed with a 20 N·cm final insertion torque, achieving good primary stability. After dental implant placement, to gain tissue volume and reduce bone remodeling, a xenogeneic bone graft material with collagen (Extra Graft, Implacil Osstem) was inserted. Finally, the dental implants were rehabilitated with monolithic zirconia crowns three months later. At the 2-year follow-up, a new CBCT was performed, revealing a normal appearance at the surgical site. Thus, the proposed surgical technique resulted in a significant volumetric gain while promoting a stable base for implant placement, as well as functional and esthetic restoration of the region. This clinical case underscores the efficacy of the Khoury technique associated with prior tissue preparation as a viable solution for severe alveolar ridge atrophy in the posterior mandibular region.
Keywords: Dental Implants; Autogenous Bone Graft; Atrophic Mandible; Khoury Technique.
INTRODUÇÃO
A reabilitação de regiões posteriores da mandíbula atrófica é um dos principais desafios da implantodontia, em razão
da acentuada reabsorção óssea associada à redução do volume de tecidos moles. Essas alterações comprometem a altura e a
espessura do rebordo alveolar, dificultando a instalação segura e estética de implantes dentários.1
Dentre as soluções disponíveis, enxertos autógenos em bloco e técnicas de regeneração óssea guiada são amplamente utilizados. No entanto, essas abordagens apresentam limitações quanto à previsibilidade, à morbidade cirúrgica e à estabilidade a longo prazo. O uso do osso autógeno, por conter células osteogênicas e fatores de crescimento, permanece como padrão-ouro em enxertia óssea. A técnica de Khoury, que utiliza lâminas finas de osso cortical associadas ao osso particulado autógeno, permite uma regeneração tridimensional eficiente e estável, com redução do tempo total de tratamento.2
Paralelamente, a presença de tecido gengival queratinizado e espesso ao redor dos implantes tem sido considerada crucial
para o sucesso da reabilitação, tanto do ponto de vista funcional quanto estético. Assim, a combinação de aumento tecidual
e regeneração óssea mostra-se promissora em casos de atrofia severa. Este trabalho apresenta um caso clínico que ilustra
uma abordagem cirúrgica sequencial, contemplando o preparo tecidual prévio e a aplicação da técnica de Khoury na mandíbula posterior com perda óssea crítica.3
RELATO DE CASO CLÍNICO
Paciente masculino, 52 anos, compareceu à clínica com queixa de ausência dentária inferior posterior bilateral e desejo de reabilitação com implantes dentários. Ao exame clínico, verificou-se uma mucosa alveolar fina e a ausência de gengiva queratinizada nas regiões edêntulas. A tomografia computadorizada de feixe cônico (TCFC) evidenciou a reabsorção óssea severa, comprometendo a instalação direta dos implantes dentários (Fig. 1).
Etapa 1 – Cirurgia de Enxerto de Tecido Conjuntivo Subepitelial
Na primeira fase, foi realizada uma cirurgia para enxerto de tecido conjuntivo visando o ganho de espessura e o aumento
da faixa de mucosa queratinizada. Assim, o enxerto foi coletado da região palatina e fixado com suturas simples (Microsuture). O período pós-operatório evoluiu sem intercorrências, com boa integração tecidual após três meses (Fig. 2).


Figura 1: Aspecto inicial e exame tomográfico inicial
Figura 2: Enxerto de tecido conjuntivo subepitelial removido do palato e desepitelizado em bancada.
Etapa 2 – Reconstrução Óssea com Técnica de Khoury
Após a maturação do tecido gengival, procedeu-se ao preparo do leito receptor com incisão e descolamento mucoperiosteal,
liberando-se o tecido lingual por meio do alívio da tensão muscular do milo-hióideo (Fig. 3) com o descolador de Molt (Supremo Instrumentais). Em seguida, prosseguiu-se com a coleta de osso autógeno do ramo mandibular (área próxima ao leito receptor do mesmo lado) (Fig. 4). As lâminas ósseas foram adaptadas e fixadas nas corticais vestibular e lingual com parafusos de titânio (Orth – Implacil Osstem) (Fig. 5), criando um compartimento do tipo caixa, preenchendo-se o seu interior com osso particulado autógeno (Fig. 6). A sutura foi realizada com pontos em colchoeiro horizontal seguidos de pontos simples interrompidos (Fig. 7). A cicatrização foi considerada satisfatória.


Figura 3: Retalho, descolamento mucoperiosteal e liberação de tecido até ultrapassar o plano oclusal dos dentes adjacentes.
Figura 4: Coleta de bloco autógeno da região do ramo mandibular e preparo das lâminas por meio de cortes longitudinais com discos (American Burrs).


Figura 5: Fixação das lâminas com técnica compressiva e parafusos Orth (Implacil Osstem)
Figura 6: Preenchimento do “túnel” com osso autógeno particulado.

Figura 7: Suturas com fio de PTFE (Microsuture) em colchoeiro horizontal e em pontos simples interrompidos
Etapa 3 – Instalação de implantes dentários
Após três meses, constatou-se a neoformação óssea adequada. Assim, foram instalados três implantes cone-morse Maestro (Implacil Osstem) com estabilidade primária satisfatória e aproximadamente 20 N·cm de torque de inserção (Fig. 8); após a instalação dos implantes, para ganho de volume tecidual e diminuição da remodelação do tecido ósseo, foi realizada a colocação de enxerto ósseo xenógeno com colágeno (Extragraft, Implacil Osstem) (Fig. 9). Três meses após a osseointegração, os implantes foram reabertos para instalação dos pilares protéticos (Ideale, Implacil Osstem) e confecção das coroas provisórias, seguidas da finalização com as cerâmicas definitivas unitárias em zircônia monolítica após mais três
meses de terapia (Figs. 9 e 10).


Figura 8: Reabertura após o período de 3 meses para a instalação de 3 implantes Maestro (Implacil Osstem) de 3,5 × 10 mm
Figura 9: Cobertura da área enxertada com substituto ósseo xenógeno (Extragraft, Implacil Osstem)

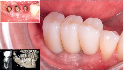
Figura 10: Instalação de Pilares Ideale (Implacil Osstem) e provisorização após 3 meses da instalação dos implantes e finalização das cerâmicas após 6 meses. Controle de 2 anos em TCFC.
DISCUSSÃO
A técnica de Khoury, ou Split Bone Block (SBB), vem sendo amplamente adotada para o tratamento de defeitos ósseos severos, principalmente na mandíbula posterior. Essa técnica permite a regeneração óssea tridimensional por meio da fixação de lâminas ósseas corticais e do preenchimento com osso particulado autógeno. Estudos demonstram que os enxertos autógenos apresentam propriedades osteocondutoras, osteoindutoras e osteogênicas superiores às de outros materiais.4,5 Além disso, a revascularização precoce promovida pela técnica favorece a integração do enxerto e minimiza o tempo de espera para a instalação dos implantes dentários.6
Outro ponto essencial é a preparação adequada do tecido mole. A presença de uma faixa de gengiva queratinizada
e espessa reduz a inflamação peri-implantar e melhora a estética a longo prazo.7 A associação do enxerto gengival prévio
com a reconstrução óssea autógena é uma estratégia eficiente para garantir resultados previsíveis.
Apesar da complexidade cirúrgica e da necessidade de mais tempo clínico, os resultados obtidos com a técnica de Khoury
justificam seu uso, especialmente em pacientes que buscam reabilitações estéticas e funcionais em áreas com reabsorção
óssea severa. O caso relatado exemplifica a eficácia da abordagem em etapas, que proporciona ganho volumétrico significativo e base sólida para a reabilitação com implantes.
CONCLUSÃO
A técnica de Khoury, associada ao preparo tecidual com enxerto gengival, mostrou-se eficaz para a reabilitação implantossuportada em mandíbula posterior severamente atrófica. A abordagem em etapas proporcionou previsibilidade, estabilidade óssea e resultados funcionais e estéticos satisfatórios.
NOTA DE ESCLARECIMENTO
Nós, os autores deste trabalho, declaramos que não recebemos apoio financeiro de organizações que possam ter ganho ou perda com a publicação deste estudo.
Além disso, afirmamos que:
• Nenhum dos autores, ou membros de suas famílias, recebeu honorários de consultoria ou foi remunerado como avaliador por organizações que possam ter ganho ou perda com a publicação deste artigo;
• Não possuímos ações ou investimentos em empresas que possam ser impactadas pela divulgação deste trabalho;
• Não recebemos honorários por apresentações provenientes de organizações com fins lucrativos que possam ter interesse nos resultados apresentados;
• Nenhum dos autores está empregado por qualquer entidade comercial que tenha patrocinado este estudo;
• Não possuímos patentes ou recebemos royalties relacionados ao tema abordado neste trabalho;
• Não atuamos como testemunhas especializadas, nem realizamos atividades para entidades com interesse financeiro na área tratada neste estudo.
Dessa forma, declaramos a inexistência de conflitos de interesse que possam influenciar os resultados e conclusões aqui apresentados.



