DOI: https://doi.org/10.71440/2675-5610.10.4.25.524-528.art
Recebido: julho/2025
Revisado e aceito: agosto/2025
Como citar:Cardoso AP, Simão GVBC, Pires JT, Sá BCM, Calais CD, Javarini A, Skiba THI. Implante imediato com
guia e provisório prototipados:relato de caso em área estética. ImplantNews 2025 Jul-Ago;10(4):524-8.
1. Departamento de Implantodontia do INSOE, Vila Velha – ES
2. Departamento de Implantodontia e Reabilitação Oral da SOEP, Porto Velho – RO
Endereço correspondência:
Amanda Piol
Rua ludwik Macal, 1201 – apto 601
Jardim da Penha – Vitória (ES)
CEP: 29060-030
Amanda Piol Cardoso,1 Gabriel Villas Bôas Casotti Simão,1 Jefferson Trabach Pires,1,2 Bruno Costa Martins de Sá,1,2
Celson Domingo de Calais,1 André Javarini,1 Tárcio Hiroshi Ishimine Skiba1,2
Resumo
A reabilitação em áreas anteriores com alta demanda estética exige um planejamento criterioso e técnicas que favoreçam a previsibilidade clínica. Com o avanço da odontologia digital, procedimentos como a cirurgia guiada têm viabilizado bordagens menos invasivas, com excelente controle das etapas cirúrgicas e protéticas. Neste artigo, relatamos um caso clínico de reabilitação do elemento 11 com implante imediato, utilizando guia cirúrgico prototipado (impresso em 3D) e provisório prototipado (PMMA fresado). O paciente apresentava fístula e lesão periapical no terço médio da raiz, o que
levou à indicação de extração minimamente traumática seguida da instalação imediata do implante. Optou-se pela abordagem flapless, complementada com enxerto de tecido conjuntivo subepitelial (ETCS) e preenchimento do gap
com substituto ósseo. O provisório fresado em PMMA foi instalado na mesma sessão. A integração entre o planejamento digital e a execução clínica permitiu alcançar um posicionamento tridimensional ideal do implante, além de preservar
os tecidos peri-implantares e proporcionar um resultado estético previsível. O caso reforça a importância do fluxo digital associado à técnica cirúrgica bem indicada para alcançar excelência nos tratamentos implantossuportados em zona estética.
Palavras-chave: Implantes Dentários; Enxerto Ósseo; Tecido Conjuntivo.
Immediate implant with guided surgery and prototyped provisional crown: a case report in the esthetic zone
Abstract
Oral rehabilitation in anterior areas with high esthetic demands requires careful planning and techniques that favor clinical predictability. With the advancement of digital dentistry, procedures such as guided surgery have enabled less invasive approaches, with excellent control of the surgical and prosthetic stages. In this article, we report a clinical case of rehabilitation of tooth 11 with immediate implant placement, using a 3D-printed surgical guide and a prototyped provisional crown. The patient presented with a fistula and a periapical lesion extending to the middle third of the root, which led to indication for minimally traumatic extraction followed by immediate implant placement. A flapless approach was chosen, complemented by subepithelial connective tissue grafting (SCTG) and filling of the gap with a bone substitute. The milled PMMA provisional crown was delivered in the same session. The integration of digital planning and clinical execution allowed for ideal threedimensional implant positioning, in addition to preserving peri-implant tissues and providing a predictable esthetic result. This case reinforces the importance of a digital workflow associated with a well-indicated surgical technique to achieve excellence in implant-supported treatments in the esthetic zone.
Keywords: Dental Implants; Bone Grafting; Connective Tissue
INTRODUÇÃO
A reabilitação da região anterior da maxila exige planejamento detalhado, não apenas pela complexidade anatômica, mas também pelo alto impacto estético envolvido.1 A previsibilidade do resultado final depende de vários fatores, como o correto posicionamento tridimensional do implante, os volumes ósseo e gengival remanescentes e a integração entre as etapas cirúrgicas e protéticas.2 Com o avanço do fluxo digital, é possível realizar diagnósticos mais precisos e simulações virtuais que antecipam os desafios clínicos.3 A cirurgia guiada, por sua vez, tem demonstrado ser uma ferramenta confiável para executar com exatidão o planejamento proposto, especialmente em regiões estéticas.4 A abordagem flapless, quando bem indicada, promove a preservação dos tecidos moles e reduz o tempo cirúrgico e a morbidade pós-operatória.5
A associação entre implante imediato, provisório personalizado e, quando necessário, enxerto de tecido conjuntivo,
tem mostrado excelentes resultados em termos de estabilidade peri-implantar e harmonia gengival.6
RELATO DE CASO CLÍNICO
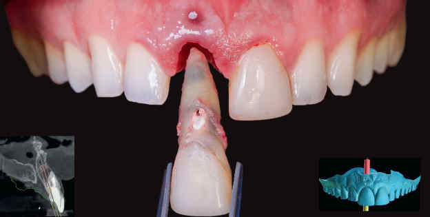
O paciente PS, sexo masculino, de 32 anos, procurou atendimento relatando incômodo na região do incisivo central superior (elemento 11), acompanhado de fístula recorrente. Após exame clínico e radiográfico, identificou-se uma lesão periapical e no terço médio radicular, sendo indicada a extração dentária e a reabilitação com implante dentário. Considerando o alto valor estético da região, optamos por realizar o planejamento cirúrgico de instalação de implante imediatamente no ato da extração, bem como o planejamento cirúrgico e protético por meio de fluxo digital, com o auxílio de uma guia cirúrgica prototipada e do enceramento/manufatura do dente provisório, ambos assistidos por computador. Essa abordagem possibilitou um controle preciso das etapas e garantiu uma cirurgia mais rápida e menos invasiva. O planejamento do caso incluiu a escolha do implante Maestro (Implacil Osstem), buscando principalmente a estabilidade secundária e um processo de osseointegração acelerado. Foi planejada também uma prótese provisória fresada em PMMA (polimetilmetacrilato) com “aletas” de apoio para guiar o posicionamento e, em caso de não travamento ou de estabilidade primária não adequados na instalação do implante, ser utilizada como prótese adesiva.
A extração do dente foi conduzida de forma minimamente traumática, seguida da curetagem do alvéolo (Supremo).
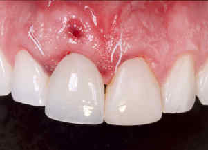
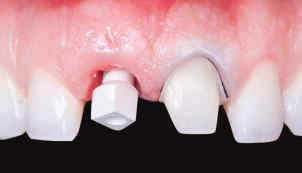
A fresagem e instalação do implante Maestro 3,5 x 13 mm (Implacil Osstem) foram realizadas por meio de cirurgia guiada (Makertech/Raio 3D), utilizando uma abordagem flapless. No momento da instalação do implante, foi obtido o torque de inserção superior a 32 N·cm e ISQ acima de 70, tornando-se possível o carregamento de um provisório imediato em infraoclusão. Na sequência, foi removido um enxerto de tecido conjuntivo do palato, que foi protegido com membrana de colágeno Hemospon Heal (Maquira), curativo intraoral (Ora-aid) e suturas suspensórias em colchoeiro modificado (X/Quadrado) com fios de PTFE (Microsuture), sendo o enxerto inserido na face vestibular entre o osso alveolar e a mucosa peri-implantar, visando preservar o volume e melhorar o fenótipo (Figs. 1 a 3). Para o preenchimento do GAP entre o implante e a parede óssea, utilizamos biomaterial Extra Graft XG-13 (Implacil Osstem). Com o implante estabilizado e os tecidos adaptados, realizamos a instalação do pilar provisório Ideale (Implacil Osstem) 3,3 x 4 x 3,5 mm e capturamos o provisório em PMMA por meio da coifa de titânio do pilar Ideale (Implacil Osstem), que foi instalado na mesma sessão (Figs. 4 e 5). Após o período de cicatrização de 6 meses, foi realizado escaneamento digital dos elementos 11 e 21, e a reabilitação foi finalizada com coroas cerâmicas definitivas em dupla cimentação do elemento sobre implante, inicialmente com uma estrutura de zircônia monolítica maquiada para a cópia exata do substrato do contralateral e, por fim, foram cimentadas as coroas definitivas em dissilicato de lítio fresado e maquiado (reabilitação também em fluxo digital). O resultado final apresentou excelente integração tecidual e harmonia estética, refletindo a eficácia da abordagem escolhida (Figs. 6 a 10).

Figura 1: Tomografia com planejamento digital (BlueSky Plan) e exodontia minimamente invasiva (Supremo).

Figura 2: Fresagem e instalação de implante Maestro de 3,5 x 13 mm (Implacil Osstem) com guia cirúrgica prototipada (Raio 3D; planejamento: Dra. Renata Tarnoschi) e resina impressa (Makertech).

Figura 3: Coleta de enxerto de tecido conjuntivo subepitelial do palato e proteção com membrana de colágeno Hemospon Heal (Maquira), curativo intraoral (Ora-Aid) e suturas suspensórias com fio de PTFE (Microsuture).


Figura 4: Instalação de pilar Ideale de 3,3 x 4 x 3,5 (Implacil Osstem) e instalação de enxerto de tecido conjuntivo por tunelização com microlâmina SB004 (MJK).
Figura 5: Preenchimento do gap com substituto ósseo Extra Graft XG-13 (Implacil Osstem)


Figura 6: Captura de provisório prototipado de PMMA em coifa de titâ-nio do pilar Ideale (Implacil Osstem)
Figura 7: Pós-operatório imediato com provisório em infraoclusão


Figura 8: Escaneamento do pilar Ideale com transfer digital (Implacil Osstem) e preparo do elemento 21.
Figura 9: Cimentação de estrutura de zircônia fresada e maquiada, copiando o substrato do contralateral.

Figura 10: Cimentação de coroas de dissilicato de lítio fresadas e maquiadas e controle de 6 meses de pós-operatório.
DISCUSSÃO
A previsibilidade na implantodontia anterior está diretamente relacionada à capacidade de planejar e executar todas
as fases com precisão.1 A cirurgia guiada, quando bem indicada, permite converter um planejamento virtual em um resultado clínico com alto grau de fidelidade.7
Neste caso, a utilização da técnica flapless trouxe benefícios claros, como menor trauma cirúrgico e preservação da arquitetura gengival.5 Associada ao enxerto de tecido conjuntivo, a técnica permitiu manter o volume vestibular, aspecto fundamental para um contorno estético duradouro.6
A literatura aponta que o uso de biomateriais para preenchimento de GAPs é uma estratégia eficiente para evitar reabsor-
ções e colapsos, principalmente quando a instalação do implante é imediata⁸. Além disso, o provisório personalizado instalado no mesmo ato permite moldar o perfil gengival, reduzindo retrabalhos e aumentando a previsibilidade do resultado final.2
Estudos também reforçam que a integração entre cirurgião, protesista e tecnologia digital é indispensável para alcançar
excelência em áreas de alta exigência estética.3 A abordagem descrita neste caso demonstra que a combinação entre técnica bem executada e recursos digitais pode levar a desfechos superiores.
No que se refere ao remanescente ósseo vestibular (buccal bone) e aos implantes imediatos com estética imediata, a literatura clássica recomenda não realizar implantes imediatos quando esse remanescente é inferior a 2 mm.9 Contudo, evidências recentes indicam que, quando se combina o preenchimento do gap com substitutos ósseos e enxerto de tecido conjuntivo subepitelial,10 é possível obter resultados estéticos.11
CONCLUSÃO
Conclui-se que a reabilitação oral utilizando a técnica de cirurgia guiada proporciona conforto e previsibilidade
na reabilitação de perdas dentárias unitárias. O planejamento digital resulta em menor tempo operatório e morbidade
pós-operatória, além de oferecer maior precisão no diagnóstico e no posicionamento tridimensional do implante, devolvendo
ao paciente a capacidade mastigatória e uma estética agradável.
O presente trabalho também evidencia que é possível obter resultado estético em implante imediato de incisivo central, mesmo com a tábua óssea vestibular (buccal bone) com deficiência e espessura inferior a 2 mm.
NOTA DE ESCLARECIMENTO
Nós, os autores deste trabalho, declaramos que não recebemos apoio financeiro de organizações que possam ter ganho ou perda com a publicação deste estudo.
Além disso, afirmamos que:
• Nenhum dos autores, ou membros de suas famílias, recebeu honorários de consultoria ou foi remunerado como avaliador por organizações que possam ter ganho ou perda com a publicação deste artigo;
• Não possuímos ações ou investimentos em empresas que possam ser impactadas pela divulgação deste trabalho;
• Não recebemos honorários por apresentações provenientes de organizações com fins lucrativos que possam ter interesse nos resultados apresentados;
• Nenhum dos autores está empregado por qualquer entidade comercial que tenha patrocinado este estudo;
• Não possuímos patentes ou recebemos royalties relacionados ao tema abordado neste trabalho;
• Não atuamos como testemunhas especializadas, nem realizamos atividades para entidades com interesse financeiro na área tratada neste estudo.
Dessa forma, declaramos a inexistência de conflitos de interesse que possam influenciar os resultados e conclusões aqui apresentados.

Referências bibliográficas:
Acesse as referências completas do artigo apontando a câmera do seu celular para o QR Code que aparece ao lado ou acesse:
https://bit.ly/4mL6iBC



