Effects of 2-Phase treatment after the growth peak of a Class III patient

Leonardo Graboski de Castro¹
Jamile Carrate²
Claudia Cristina da Silva³
Juliana Volpato Curi Paccini⁴
Fabricio Pinelli Valarelli⁵
Resumo
O tratamento da má oclusão de Classe III é um desafio para o ortodontista devido ao comprometimento estético e prognóstico desfavorável à mecânica ortodôntica. O objetivo desse trabalho é mostrar o tratamento em duas fases de um caso de Classe III que se apresentava em fase pós-pico de crescimento. Para isso utilizou-se a expansão rápida da maxila
associada à protração da mesma e seguida por aparelho fixo corretivo. Houve pouca alteração do componente esquelético quando em relação à alteração sofrida pelo componente dentoalveolar. Entretanto, houve boa correção da relação entre os dentes superiores e inferiores com diminuição da concavidade do perfil. O tratamento em duas fases para paciente pós-pico
de crescimento apresentou maiores alterações dos componentes dentoalveolares. Ademais, o protocolo de duas fases promove efeitos favoráveis para o perfil e estética facial do paciente.
Descritores: Técnica de expansão palatina, resultado de tratamento, má oclusão de Angle Classe III, Ortopedia.
Abstract
The treatment of Class III malocclusion is a challenge for the orthodontist due to aesthetic imbalance and poor prognosis for orthodontic mechanics. The objective of this paper is to present a 2-phase treatment of a Class III malocclusion patient after growth peak. The treatment was conducted by rapid maxillary expansion with reverse traction followed by pre-adjusted
appliance. There was a small skeletal improvement in relation to the dentoalveolar alterations.
However, it was observed a good result for occlusal relation with maxillary and mandibular teeth and improvement in the convexity of facial profile. The 2 phase treatment in the after peak of growth patient showed the best results in the dentoalveolar components. Additionally, the 2-phase protocol promotes favorable effects on the facial profile of the patient.
Descriptors: Palatal expansion technique, treatment outcome, Angle Class III malocclusion, Orthopedics
¹ Especialista em Ortodontia – SOEP – Facsete – CIODONTO/Porto Velho/RO, Professor do Curso de Especialização em Ortodontia – SOEP – Facsete – CIODONTO/Porto Velho/RO.
² Especialista em Ortodontia – SOEP – Facsete – CIODONTO/Porto Velho/RO.
³ Especialista em Ortodontia – Uningá/Bauru/SP, Professora do Curso de Especialização em Ortodontia IOPG – Facsete/Bauru/SP.
⁴ Mestre em Ortodontia – UNICID, Professora do Curso de Especialização em Ortodontia – SOEP – Facsete – CIODONTO/Porto Velho/RO.
⁵ Mestre e Doutor em Ortodontia – FOB/USP, Professor do Mestrado em Ortodontia da Faculdade Ingá/Maringá,
Coordenador do Curso de Especialização em Ortodontia – SOEP – Facsete/Porto Velho/RO e IOPG – Facsete/Bauru.
E-mail do autor: fabriciovalarelli@uol.com.br
Recebido para publicação: 26/01/2015
Aprovado para publicação: 31/03/2015
Introdução
A má oclusão de Classe III apresenta um interesse especial para o ortodontista devido ao comprometimento estético e prognóstico desfavorável à mecânica ortopédica e ortodôntica. Esta má oclusão apresenta uma discrepância entre o arco dentário superior e inferior, sendo que na maioria dos casos, apresenta-se com retrusão maxilar, podendo estar ou não associada ao prognatismo mandibular¹⁴.
Vários fatores devem ser considerados para a escolha do tipo de tratamento desta má oclusão, entre eles:
a fase de crescimento em que o paciente se encontra, a provável colaboração do paciente, a hereditariedade, e
principalmente, as estruturas anatômicas envolvidas⁵⁻⁹⁻¹⁰.
Nesta má oclusão, a discrepância anteroposterior entre as bases apicais pode ser facilmente notada, inclusive pelo leigo, provocando apreensão aos pais que procuram o ortodontista em etapas precoces do desenvolvimento dos seus filhos¹⁵.
A incidência da má oclusão de Classe III pode variar grandemente dependendo do grupo populacional estudado. A literatura reporta uma prevalência maior em países asiáticos, cerca de 10% da população, atingindo na Europa de 1% a 2%, e no Brasil aproximadamente 3%⁴⁻⁶⁻⁸⁻¹⁸⁻²¹.
O tratamento da Classe III realizado em duas fases já foi diversas vezes abordado na literatura, sendo uma fase inicial de expansão rápida da maxila e máscara de prostração, e a segunda fase envolvendo a Ortodontia corretiva com aparelhos fixos¹⁻⁹⁻¹⁹⁻²². Este tratamento é mais efetivo quando realizado antes do pico puberal de crescimento, entretanto, os tratamentos realizados em uma fase mais tardia também apresentam bons resultados⁷.
Considera-se que a abordagem precoce da má oclusão da Classe III possibilita alterações ortopédicas craniofaciais minimizando tratamentos mais invasivos, onerosos e traumáticos na fase adulta, especialmente no que diz respeito à realização de procedimentos cirúrgicos e pós-operatório complexos1.
Convencionalmente, a expansão rápida da maxila e a protração da mesma tem sido considerado o tratamento mais efetivo. Esta abordagem cria um desarranjo entre a maxila e a mandíbula produzindo um incremento maxilar importante e um desajuste mandibular capazes de alterar a total manifestação do crescimento mandibular, levando a um movimento maxilar
para frente e para baixo, giro da mandíbula no sentido horário, aumento do 1/3 inferior da face, melhora do perfil, verticalização dos incisivos inferiores e aumento da inclinação dos incisivos superiores⁴⁻¹²⁻¹⁶⁻¹⁹⁻²⁰.
Desta maneira, este trabalho visa relatar o tratamento de uma jovem adolescente que se encontrava no período pós-pico de crescimento puberal e apresentava Classe III esquelética, com deficiência de maxila. O tratamento foi realizado por meio da expansão rápida da maxila e uso de máscara facial de Petit, seguido de aparelho fixo pré-ajustado.
Relato de caso
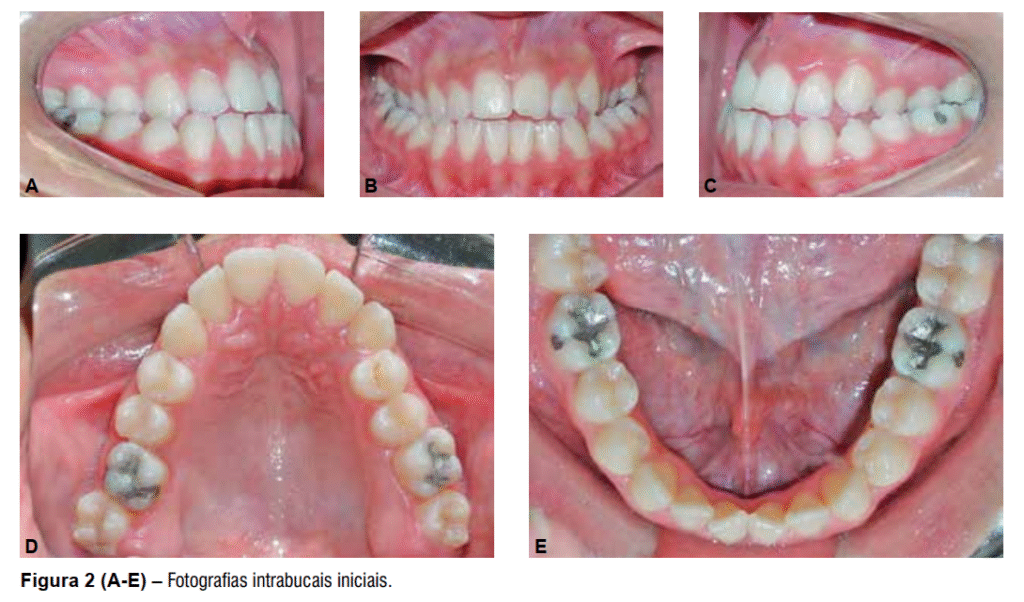
A paciente F.A.A. de 12 anos de idade apresentava um perfil suavemente convexo e padrão facial vertical (Figura 1 A-B), má oclusão de Classe III completa bilateral, mordida cruzada (exceto dos segundos molares) e mordida aberta anterior (Figura 2 A-E).
Na radiografia panorâmica, pode-se perceber a presença de todos os dentes, inclusive dos germes dos terceiros molares (Figura 3).



Alternativas de tratamento
O tratamento poderia ser realizado somente em uma fase, com a inserção de aparelho corretivo, pois a paciente em questão se apresentava com a dentadura permanente completa. Dessa maneira, estima-se que o tempo de tratamento pudesse ser menor do que o tratamento em duas fases.
Entretanto, como se tratava de uma paciente de 12 anos que havia apresentado a menarca há poucos meses, decidiu-se optar pelo tratamento em duas fases, visto os benefícios ortopédicos que a utilização da máscara facial poderia proporcionar no desenvolvimento da maxila. Dessa forma, o plano de tratamento buscou reduzir a discrepância esquelética anteroposterior, melhorando a harmonia da face, estimulando o crescimento da maxila, redirecionando o crescimento mandibular e favorecendo a relação entre os lábios superior e inferior.
Tratamento
O tratamento preconizava inicialmente a correção transversal da maxila pelo expansor tipo Hyrax, sendo o protocolo de ativação de 1 volta no primeiro dia e ¼ de volta pela manhã e ¼ de volta à noite por um período de 15 dias (Figura 4). O total de expansão esperado era de aproximadamente 8,5 mm.
Na sequência foi instalada a máscara facial de Petit para a correção da discrepância anteroposterior entre as bases apicais. A paciente utilizou a máscara facial por um período diário de 10 horas durante 15 meses.
Simultaneamente, nos dentes inferiores iniciou-se a mecânica ortodôntica com o aparelho fixo corretivo (Figura 5 A-E).
Após a remoção da máscara facial foi instalado o aparelho fixo superior utilizando a sequência de fios 0,014” NiTi, 0,016” NiTi, 0,018” aço, 0,020” aço e 0,019”x0,025” NiTi e 0,019”x0,025” aço para o alinhamento e nivelamento dos dentes (Figura 6 A-D).
Foi realizado desgaste interproximal do esmalte dentário na região anteroinferior a fim de se conseguir a correção da discrepância entre os tamanhos dos dentes superiores e inferiores. Após o alinhamento foi inserido o elástico em cadeia de molar a molar nos arcos superior e inferior juntamente com o uso de elásticos de Classe III 3/16” de força média bilateralmente (Figura 7 A-C).
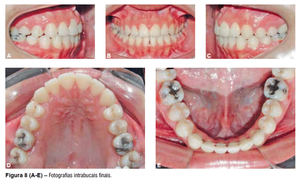
Após a remoção do aparelho fixo foi instalada como contenção uma placa de Hawley superior, 3×3 inferior e uso noturno de mentoneira com finalidade de restringir o crescimento mandibular. O tratamento proposto possibilitou a correção da discrepância transversal e da relação anteroposterior de forma satisfatória, melhorando o perímetro do arco e obtendo-se uma relação molar de Classe I (Figura 8 A-E), além da melhora significativa do perfil facial e estética mais agradável (Figura 9 A-B). As telerradiografias inicial e final mostram a melhora da relação entre as bases ósseas (Figura 10) juntamente com a sobreposição dos cefalogramas (Figura 11).









Resultados do tratamento
O componente esquelético da maxila não apresentou grandes alterações, entretanto, a mandíbula teve significante crescimento representado pela variável CoGn. Também houve suave aumento das variáveis que representam o padrão da face no sentido vertical, com destaque para a alteração sofrida pela variável AFAI, que teve aumento de 4,1 mm (Tabela 1).
O componente dentoalveolar da maxila apresentou maiores alterações, assim como já era esperado. Os incisivos superiores apresentaram vestibularização e protrusão enquanto os molares superiores apresentaram mesialização com angulação da sua coroa para a mesial (Tabela 1). O componente dentoalveolar inferior apresentou suaves alterações, principalmente em relação à extrusão sofrida pelos incisivos inferiores (Tabela 1).
Na relação entre os dentes superiores e inferiores houve grande melhora representada pelas variáveis:
relação molar, trespasse horizontal e trespasse vertical (Tabela 1), assim como houve visível melhora em relação ao perfil facial, que ao final do tratamento se apresentava menos côncavo (Tabela 1)

Discussão
O tratamento da Classe III, principalmente quando sua origem provém de fatores hereditários, é complexo e de longa duração. O desafio está em contrapor o padrão esquelético e a direção de crescimento das bases apicais, o que nem sempre se pode controlar com a terapia ortodôntica e ortopédica, por mais oportuno que seja o início da intervenção e, que em muitos casos, se faz necessário o tratamento ortodôntico-cirúrgico².
No presente caso clínico optou-se pelo protocolo de tratamento em duas etapas, com o uso do aparelho expansor tipo Hyrax associado à máscara facial de Petit, seguida da colagem de acessórios ortodônticos fixos e utilização de elásticos intermaxilares para Classe III, pois se esperava um estímulo de crescimento da maxila, proporcionando uma alteração ortopédica da face.
Os efeitos dessa mecânica em duas fases, quando comparado à mecânica ortodôntica realizada em uma fase somente, estão baseados no fato de que o avanço da maxila pelo uso da máscara de Petit promove a melhora no posicionamento dos incisivos, principalmente no arco superior, o que pode ser verificado quando se observa a protrusão e inclinação para vestibular dos incisivos superiores e a mesialização e angulação mesial sofrida pelos molares superiores por meio da mecânica ortodôntica realizada pela protração da maxila¹³⁻²² (Tabela 1). Além disso, outro fator que reforça a escolha desta mecânica em duas fases é que a utilização da protração maxilar no tratamento de má oclusão de Classe III tem alcançado merecido destaque na última década, muito em decorrência dos resultados favoráveis e em um período relativamente curto de tratamento (4 a 9 meses de fase ortopédica)3,15.
No caso apresentado nesse trabalho, as alterações esqueléticas ocorreram em menor proporção quando comparadas às alterações dentoalveolares (Tabela 1). Entretanto, estima-se que a associação dessas alterações favorece a correção da discrepância anteroposterior, assim como a harmonia da face e consequente estética do sorriso. A aplicação do protocolo em duas fases em uma paciente pós-pico de crescimento pode gerar efeitos esqueléticos no sentido de minimizar a discrepância anteroposterior existente ao início do tratamento, principalmente se o tratamento se iniciar no início ou logo após o surto de crescimento pubera¹³.
O aumento da altura facial anterior inferior (AFAI) é outro efeito da mecânica aplicada ao tratamento e que colabora para atratividade da face. Os registros cefalométricos inicial e final do paciente mostram para um aumento de 4,1 mm (Tabela 1) da AFAI durante o tratamento. O aumento da AFAI promove uma rotação da mandíbula no sentido horário, diminuindo a projeção do mento e favorecendo a estética da face para o paciente Classe III esquelética¹¹ (Figura 11). Apesar dos
efeitos favoráveis obtidos pela mecânica ortodôntica no presente caso clínico, um controle no desenvolvimento vertical dos dentes posterossuperiores poderia ter sido inserido mediante a instalação do aparelho expansor modificado por McNamara, o qual apresenta recobrimento oclusal em acrílico dos dentes posteriores e visa minimizar a rotação da mandíbula no sentido
horário e aumento da AFAI¹.
Como auxiliar no controle pós-tratamento, foi preconizado o uso noturno da mentoneira como contenção ativa¹⁵. Embora a capacidade da mentoneira para modificar o crescimento mandibular ainda seja controversa, sua utilização ainda vem sendo bastante indicada nos pacientes jovens, pois a força associada com a mentoneira é transferida completamente ao mento e ocasiona uma rotação maior da mandíbula para baixo e para trás¹⁷.
A melhora da face foi evidente no caso apresentado, o que torna viável o tratamento em duas fases da paciente que se apresentava em fase pós-pico de crescimento, com resultados favoráveis à estética facial.
Conclusão
Ao verificar os resultados encontrados no tratamento da paciente deste trabalho, pode-se afirmar que o tratamento em duas fases da Classe III para paciente pós-pico de crescimento apresenta maiores alterações dos componentes dentoalveolares em relação aos componentes esqueléticos, ou seja, a discrepância oclusal inicial é corrigida principalmente por compensações dentárias. Ademais, o protocolo de duas fases promove efeitos favoráveis para o perfil e estética facial do paciente.
Referências
1. Baccetti T, Franchi L, McNamara JA Jr. Treatment and posttreatment craniofacial changes after rapid maxillary expansion and facemask therapy. Am J Orthod Dentofacial Orthop 2000, Oct; 118(4):404-13.
2. Cevidanes L, Baccetti T, Franchi L, McNamara JA Jr, De Clerck H. Comparison of two protocols for maxillary protraction: bone anchors versus face mask with rapid maxillary expansion. Angle Orthod 2010, Sep; 80(5):799-806.
3. Chen L, Chen R, Yang Y, Ji G, Shen G. The effects of maxillary protraction and its long-term stability – a clinical trial in
Chinese adolescents. Eur J Orthod 2012, Feb; 34(1):88-95.
4. Cozza P, Marino A, Mucedero M. An orthopaedic approach to the treatment of Class III malocclusions in the early mixed
dentition. Eur J Orthod 2004, Apr; 26(2):191-9.
5. Cozzani G. Extraoral traction and Class III treatment. Am J Orthod 1981, Dec; 80(6):638-50.
6. da Silva Filho OG, Magro AC, Capelozza Filho L. Early treatment of the Class III malocclusion with rapid maxillary expansion and maxillary protraction. Am J Orthod Dentofacial Orthop 1998, Feb; 113(2):196-203.
7. Franchi L, Baccetti T, McNamara JA J. Postpubertal assessment of treatment timing for maxillary expansion and protraction therapy followed by fixed appliances. Am J Orthod Dentofacial Orthop 2004, 126(5):555-68.
8. Gonçalves RC, Santos-Pinto A, Gonçalves JR, Raveli DB. Tratamento ortodôntico cirúrgico da Classe III com deficiência
maxilar. Rev Ortodontia 2007, 40(3):209-15.
9. Henriques JFC, Silva CMS, Neves LS, Henriques RP, Cançado RH, Janson G, et al. Intervenção não-cirúrgica da má oclusão de Classe III: quando e como tratá-la? Rev Clin Ortodon Dental Press 2006, 4(6):46-54.
10. Ishikawa H, Nakamura S, Iwasaki H, Kitazawa S, Tsukada H, Sato Y. Dentoalveolar compensation related to variations in sagittal jaw relationships. Angle Orthod 1999, Dec; 69(6):534-8.
11. Janson GRP, Canto GL, Martins DRM, Neto AP, Neto JV. Tratamento precoce da má oclusão de Classe III. Dental Press
Ortodon Ortop Facial 1998, maio/jun; 3(3):41-51.
12. Kilic N, Catal G, Kiki A, Oktay H. Soft tissue profile changes following maxillary protraction in Class III subjects. Eur J Orthod 2010, Aug; 32(4):419-24.
13. Kucukkeles N, Nevzatoglu S, Koldas T. Rapid maxillary expansion compared to surgery for assistance in maxillary face
mask protraction. Angle Orthod 2011, Jan; 81(1):42-9.
14. Major PW, elBadrawy HE. Maxillary protraction for early orthopedic correction of skeletal Class III malocclusion. Pediatr Dent 1993, May-Jun; 15(3):203-7.
15. Mc Namara Jr J, Brudon W. Bonded rapid maxillary expansion appliance. Orthodontic and orthopedic treatment in
the mixed dentition: Needham Press; 1995. p. 145-69.
16. Rocha Perrone AP, Mucha JN. O tratamento da Classe III – revisão sistemática – Parte I. Magnitude, direção e duração
das forças de protração maxilar. R Dental Press Ortodon Ortop Facial Maringá 2009, set./out.; 14(5):109-17.
17. Showkatbakhsh R, Jamilian A, Ghassemi M, Ghassemi A, Taban T, Imani Z. The effects of facemask and reverse chin cup on
maxillary deficient patients. J Orthod 2012, Jun; 39(2):95-101. 18. Silva Filho OG, Freitas SF, Cavassan AO. Prevalência de oclusão normal e má oclusão em escolares das cidades de Bauru. Rev Odontol Univer São Paulo 1990, Abr.-Jun; 4(2):130-7.
19. Silva Filho OG, Magro AC, Capelozza Filho L. Early treatment of the Class III malocclusion with rapid maxillary expansion and maxillary protaction. Am J Orthod Dentofacial Orthop 1998, 113(2):196-203.
20. Silva Filho OG, Santos SCBN, Suguimoto RM. Má oclusão de Classe III: época oportuna de tratamento. Ortodontia 1995, 28(3):74-84.
21. Turkewicz J. Diagnosis and correction of Class III malocclusion. Alpha Omegan 1999, Jul-Aug; 92(2):28-38.
22. Westwood PV, McNamara JA Jr, Baccetti T, Franchi L, Sarver DM. Long-term effects of Class III treatment with rapid
maxillary expansion and facemask therapy followed by fixed appliances. Am J Orthod Dentofacial Orthop 2003, Mar;
123(3):306-20.



