Vertical Anterior Maxillary Augmentation: A Case Report

João Carlos Vicente de Barros Junior2, Daniela Martens Fernandes2, Ana Andrea Fonseca Rosendo deMelo1, Danielle Oliveira Vieira1, Makeler Rampos Polassi1, Itala Caroline da Rocha Albuquerque1,Leandro Lécio de Sousa1, Sergio Charifker Ribeiro Martins1, Bruno Costa Martins de Sá1 andTarcio Hiroshi Ishimine Skiba2* 1Department of Implantology and Periodontology RIDGE (Research Implant Dentistry and Graft Expertise) / ICS […]
Reconstrução óssea tridimensional em regiãoposterior mandibular conforme a técnica de Khoury: 2 anos de acompanhamento

DOI: https://doi.org/10.71440/2675-5610.10.4.25.530-533.art Recebido: junho/2025 Revisado e aceito: julho/2025 Como citar:Barros LL, Urteaga VM, Salazar GB, Alberto W, Sá BCM, Skiba THI. Reconstrução óssea tridimensional em região posterior mandibular conforme a técnica de Khoury:2 anos de acompanhamento. ImplantNews 2025 Jul-Ago;10(4):530-3 1. Departamento de Implantodontia e Reabilitação Oral da SOEP – Porto Velho – RO Endereço correspondência:Lucas […]
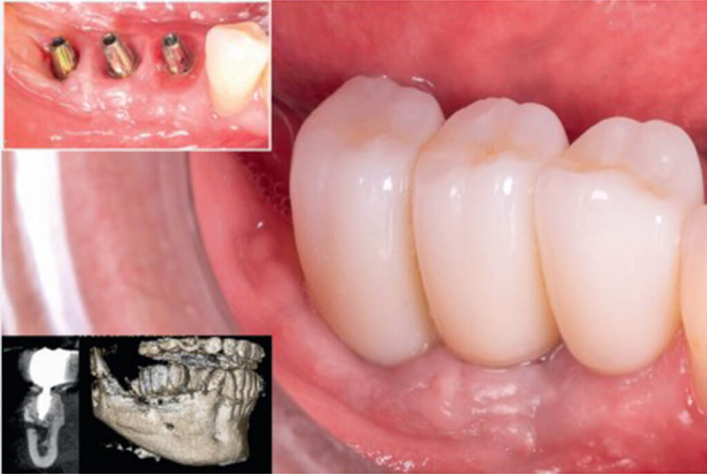
Implante imediato com guia e provisórioprototipados: relato de caso em área estética

DOI: https://doi.org/10.71440/2675-5610.10.4.25.524-528.art Recebido: julho/2025 Revisado e aceito: agosto/2025 Como citar:Cardoso AP, Simão GVBC, Pires JT, Sá BCM, Calais CD, Javarini A, Skiba THI. Implante imediato comguia e provisório prototipados:relato de caso em área estética. ImplantNews 2025 Jul-Ago;10(4):524-8. 1. Departamento de Implantodontia do INSOE, Vila Velha – ES2. Departamento de Implantodontia e Reabilitação Oral da SOEP, […]


