Ciências da Saúde, Volume 29 – Edição 145/ABR 2025 / 09/04/2025
REGISTRO DOI: 10.69849/revistaft/ni10202504092033
Bárbara Sousa Carneiro¹ ; Maria Eduarda de Sá¹ ; Samuel Evangelista da
Silva Bicalho² ; Leslie Cristine Fiori Leite ; Regina Márcia Serpa Pinheiro ;
Bruno Costa Martins de Sá ; Renata Tarnoschi Bordignon ; Treisen Cristina
Moreira de Oliveira ; Tárcio Hiroshi Ishimine Skiba
Resumo: O aumento horizontal da mandíbula posterior com instalação de implantes dentários é essencial para a reabilitação de pacientes com perda óssea severa nessa região. A perda óssea pode ocorrer por extrações dentárias, infecções, traumas ou doenças periodontais, comprometendo a estética e funcionalidade do paciente. Dessa forma, a reconstrução óssea torna-se indispensável para permitir a instalação segura dos implantes dentários.
Este estudo investigou a eficácia da técnica de Khoury, que utiliza enxertos autógenos para o aumento ósseo horizontal, possibilitando a instalação simultânea de implantes. A técnica consiste na utilização de lâminas ósseas retiradas da mandíbula do paciente, fixadas na região receptora para criar um compartimento ósseo que favorece a neoformação óssea. Essa abordagem minimiza a reabsorção e melhora a integração do enxerto. Trata-se de um relato de caso clínico em que um
paciente foi submetido a cirurgias em duas etapas. A avaliação prévia incluiu exames clínicos e radiográficos. O procedimento cirúrgico envolveu a instalação do enxerto ósseo pela técnica de Khoury e a fixação do implante Cone Morse. O paciente foi acompanhado no período de cicatrização, com monitoramento da integração óssea. Os resultados indicaram um ganho significativo em espessura óssea, garantindo a estabilidade do implante. A conclusão reforça a relevância da técnica de Khoury para casos de atrofia óssea severa, destacando seus benefícios estéticos e funcionais. Este estudo contribui para a prática clínica ao comparar essa técnica com outros métodos disponíveis na literatura.
Palavras-Chave: Autoenxertos. Reconstrução Mandibular. Implante Dentário. Conexão Implante Dentário-Pivô Morse. Cirurgia Bucal.
Abstract: Horizontal augmentation of the posterior mandible with the installation of dental implants is essential for the rehabilitation of patients with severe bone loss in this region. Bone loss can occur due to tooth extractions, infections, trauma or periodontal diseases, compromising the patient’s aesthetics and functionality. Therefore, bone reconstruction becomes essential to allow the safe installat ion of dental implants.This study investigated the efficacy of the Khoury technique, which uses autogenous grafts for horizontal bone augmentation, enabling the simultaneous installation of implants. The technique consists of using bone plates removed from the patient’s mandible and fixed in the recipient region to create a bone compartment that favors new bone formation. This approach minimizes resorption and improves graft integration. This is a clinical case report in which a patient underwent two- stage surgeries. The preliminary evaluation included clinical and radiographic examinations. The surgical procedure involved the installation of the bone graft using the Khoury technique and the fixation of the Morse Taper implant. The patient was monitored during the healing period, with monitoring of bone integration. The results indicated a significant gain in bone thickness, ensuring implant stability. The onclusion reinforces the relevance of the Khoury technique for cases of severe bone atrophy, highlighting its aesthetic and functional benefits. This study contributes to clinical practice by comparing this technique with other methods available in the literature.
Keywords: Autografts. Mandibular Reconstruction. Dental Implants. Morse Taper Dental Implant- Abutment Connection. Surgery Oral.
1. INTRODUÇÃO
A reabilitação oral com implantes dentários é amplamente reconhecida como uma solução eficaz para pacientes que sofreram perda dentária significativa, restaurando tanto a função mastigatória quanto a estética do sorriso (Voss et al., 2016; Sánchez-Sánchez et al., 2021). No entanto, a atrofia óssea na região posterior da mandíbula representa um desafio crítico para a instalação de implantes, devido à perda de volume ósseo que compromete a estabilidade e o sucesso a longo prazo desses dispositivos (Rocha et al., 2015). Estima-se que até 50% do volume ósseo possa ser perdido no primeiro ano após a extração dentária, tornando necessária a aplicação de técnicas de aumento ósseo para viabilizar a reabilitação protética (Schropp et al., 2003).
Diversas abordagens cirúrgicas foram desenvolvidas para contornar as limitações impostas pela reabsorção óssea, incluindo o uso de enxertos ósseos autógenos, biomateriais e malhas de titânio personalizadas (Ciocca et al., 2015; Pénzes et al., 2020). Entre essas técnicas, a de Khoury se destaca por utilizar enxertos autógenos retirados do ramo mandibular, promovendo um aumento tridimensional do osso alveolar com alta previsibilidade e baixos índices de complicação (Khoury & Hanser, 2019). Estudos indicam que essa técnica proporciona um ganho ósseo significativo, garantindo a estabilidade dos implantes e reduzindo o risco de falhas (Khoury & Hanser, 2019; Voss et al., 2016).
A escolha da técnica ideal depende de fatores como o grau de atrofia óssea, as condições sistêmicas do paciente e a experiência do cirurgião (Pénzes et al., 2020). Comparações recentes entre as técnicas de Khoury e Urban mostram ganhos ósseos semelhantes, embora a primeira seja preferida em casos de defeitos tridimensionais complexos (SánchezSánchez et al., 2021).
Diante da relevância clínica e da diversidade de abordagens, o presente estudo tem como objetivo avaliar a eficácia da técnica de Khoury no aumento ósseo horizontal da mandíbula posterior com instalação simultânea de implantes dentários. Além disso, busca comparar seus resultados com outras técnicas descritas na literatura, destacando as vantagens, desvantagens e complicações associadas. Com isso, pretendese fornecer subsídios para a escolha da abordagem cirúrgica mais adequada na reabilitação de pacientes com atrofia óssea severa.
2. CASO CLÍNICO
Paciente: W.C.P.S., sexo masculino, 53 anos, compareceu ao Sistema Odontológico de Estudo e Pesquisa (SOEP) em Porto Velho-RO, queixando-se de perda dentária na região posterior da mandíbula, especificamente na área do dente 34 (Primeiro pré-molar inferior esquerdo). O paciente apresentava significativa atrofia óssea horizontal, o que inviabilizava a instalação de implantes dentários sem a realização de aumento ósseo.
Após uma anamnese detalhada, o paciente foi submetido a exames clínicos e de imagem (tomografia computadorizada), que confirmaram a necessidade de um aumento ósseo horizontal para criar a base óssea necessária para a instalação dos implantes. A tomografia revelou a redução da largura óssea na região posterior da mandíbula, em torno do local onde o implante seria instalado.
A decisão foi tomada em conjunto com o paciente para realizar o aumento ósseo utilizando a técnica de Khoury. Para o planejamento da cirurgia, foi realizada uma análise digital da situação clínica, e o planejamento tridimensional foi feito com o auxílio do CAD/CAM, permitindo a visualização precisa da área a ser enxertada e a criação de uma estratégia de incisão, remoção do enxerto ósseo e posicionamento do implante. (Imagem 01a e imagem 01b)

Fonte: próprio autor
Após esse primeiro momento, a cirurgia foi realizada sob anestesia local, com infiltração em áreas específicas da região posterior da mandíbula, incluindo a área do dente 34. A anestesia foi cuidadosamente administrada para garantir o bloqueio eficaz da região da inervação dos Nervos Alveolar Inferior, Lingual e o Nervo Mentoniano com articaína 4% com epinefrina 1:100.00 (marca DFL).
A incisão foi realizada na mucosa gengival, na região posterior da mandíbula, levando em consideração a localização da perda óssea. O descolamento do retalho mucoperióstico foi realizado com cuidado, utilizando um elevador periostal para preservar a vascularização e garantir a integridade do tecido ósseo. (Imagem 02)

Fonte: próprio autor
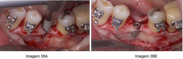
Durante a intervenção cirúrgica, foi instalado o implante dentário do tipo Cone Morse 3.5 x 9mm (Marca Implacil), com cuidado para garantir um bom posicionamento tridimensional no osso remanescente, criando uma boa base para a futura reabilitação. (Imagem 05A e Imagem 05B)

Fonte: próprio autor
A técnica de Khoury foi aplicada, começando com a remoção de um bloco ósseo do ramo mandibular ipsilateral (lado esquerdo), utilizando uma serra diamantada (Marca SUPREMO). (Imagem 06A e Imagem 06B)

Fonte: próprio autor
Para promover o aumento tanto na vertical quanto na horizontal, duas lâminas ósseas foram fixadas em cada lado do defeito ósseo utilizando parafusos de titânio 1.2 x 10mm (marca SUPREMO), criando uma cavidade entre as lâminas. (Imagem 07A e Imagem 07B)

Fonte: próprio autor
Esse espaço foi preenchido com partículas ósseas autógenas, provenientes do ramo mandibular em conjunto com o enxerto xenógeno de origem bovina, o que ajudou a garantir a estabilidade das duas lâminas do ramo mandibular e favoreceu a regeneração óssea. Esse enxerto ósseo em bloco foi cuidadosamente preparado e posicionado na área da perda óssea na região posterior da mandíbula, logo após foi realizado a síntese, fase final da etapa cirúrgica e assim foi realizado a tomografia computadorizada para a verificação da posição do implante dentário. (Imagem 08A, Imagem 08B, 08C e 08D)


Fonte: próprio autor
Após o período de cicatrização e osseointegração de aproximadamente 6 meses, o paciente foi reavaliado e, com base nos exames clínicos e radiográficos, constatou-se que o implante estava completamente osseointegrado. A segunda fase do tratamento envolveu a reabertura do local para a remoção dos parafusos de titânio e a instalação da coroa definitiva, proporcionando ao paciente função mastigatória adequada.
(Imagem 09A, 09B e 09C)


Fonte: próprio autor
O acompanhamento pós-operatório foi realizado com o paciente a cada semana, para avaliar a cicatrização e monitorar possíveis complicações. O paciente foi orientado quanto ao uso de medicamentos analgésicos e anti-inflamatórios, além de cuidados com a higiene bucal e dieta. (Imagem 10A e 10B)

Fonte: próprio autor
3 DISCUSSÃO
A técnica de Khoury tem se destacado como uma abordagem eficaz para o aumento ósseo horizontal na região posterior da mandíbula, sendo amplamente estudada e comparada com outros métodos disponíveis na literatura. Khoury e Hanser (2019) ressaltam que o uso de lâminas de enxertos autógenos apresenta vantagens significativas devido às suas propriedades osteogênicas e à estabilidade proporcionada durante o processo de cicatrização. No entanto, essa abordagem não está isenta de
críticas. Rocha et al. (2015) apontam que a morbidade do sítio doador pode resultar em complicações pós-operatórias, como dor e edema, fatores que devem ser considerados no planejamento clínico.
Outro aspecto relevante abordado no estudo é o uso de malhas de titânio personalizadas, desenvolvidas por meio da tecnologia CAD-CAM. Ciocca et al. (2015) indicam que essa técnica melhora o planejamento cirúrgico e promove ganhos significativos em espessura óssea. Entretanto, a alta taxa de exposição das malhas, conforme relatado por Sánchez-Sánchez et al. (2021), representa uma limitação importante, pois pode aumentar o risco de infecções e comprometer a integração do enxerto. Comparativamente, Khoury e Hanser (2019) destacam que os enxertos autógenos apresentam menor propensão a essas complicações, embora sua execução exija maior habilidade técnica por parte do cirurgião.
A regeneração óssea guiada (ROG) também se apresenta como uma estratégia viável para a reconstrução óssea. Segundo Sakkas et al. (2017), essa técnica é eficaz em casos de perda óssea moderada, especialmente quando combinada com membranas protetoras e biomateriais osteocondutivos, como Bio-Oss® e Mucograft®. No entanto, SánchezSánchez et al. (2021) argumentam que a técnica de Khoury demonstra superioridade em cenários de atrofia óssea severa, pois proporciona um maior ganho tridimensional, tornando-se mais adequada para reabilitações complexas. A escolha entre biomateriais sintéticos e enxertos autógenos também é amplamente discutida na literatura. Lopes et al. (2022) consideram os biomateriais uma alternativa promissora devido à sua menor invasividade e ampla disponibilidade. Entretanto, Sakkas et al. (2017) defendem que os enxertos autógenos continuam sendo o padrão- ouro nas cirurgias de aumento ósseo, devido à sua
elevada biocompatibilidade e capacidade de osseointegração. Além disso, estudos sugerem que a associação entre biomateriais e enxertos autógenos pode potencializar os resultados clínicos, uma hipótese reforçada por Voss et al. (2016).
Por fim, é essencial considerar as complicações ass ociadas a cada técnica.
Rocha et al. (2015) enfatizam desafios como a reabsorção óssea e a morbidade do sítio doador nos casos de enxertos autógenos, enquanto Ciocca et al. (2015) alertam para o risco de falhas no uso de malhas de titânio. Esses dados reforçam a importância de uma avaliação criteriosa das condições clínicas do paciente e dos objetivos do tratamento antes da escolha da técnica mais adequada, conforme recomendado por Khoury e Hanser (2019).
4 CONCLUSÃO
Diante do exposto, o presente estudo demonstrou que a técnica de Khoury é uma abordagem altamente eficaz para o aumento ósseo horizontal na região posterior da mandíbula, possibilitando a instalação estável de implantes dentários mesmo em casos de atrofia óssea severa. Os resultados observados evidenciaram um ganho significativo na espessura óssea, contribuindo diretamente para a estabilidade dos implantes e proporcionando benefícios funcionais e estéticos que melhoram a qualidade de vida dos pacientes. Além disso, a utilização de enxertos autógenos, associada à instalação simultânea de implantes, demonstrou ser uma alternativa viável, previsível e segura, apresentando uma alta taxa de sucesso clínico e corroborando os achados da literatura especializada.
Entretanto, apesar das vantagens evidenciadas, é fundamental considerar a possibilidade de intercorrências, como infecção, reabsorção óssea e necessidade de reintervenções, fatores que reforçam a importância de um planejamento criterioso, da seleção adequada dos casos e de um acompanhamento rigoroso no pós-operatório. Além disso, a experiência do cirurgião e a adesão do paciente às orientações pós- operatórias desempenham um papel essencial no desfecho positivo do procedimento.
Portanto, a técnica de Khoury se apresenta como uma excelente alternativa para reconstrução óssea na região posterior da mandíbula, oferecendo resultados previsíveis e duradouros.
REFERÊNCIAS
CIOCCA, L.; LÍZIO, G.; BALDISSARA, P.; SAMBUCO, A.; SCOTTI, R.;
CORINALDESI, G. Aumento ósseo guiado por prótese CAD-CAM de
maxilares atróficos usando malha de titânio personalizada: resultados
preliminares de um estudo prospectivo aberto. Revista de Biomedicina e
Biotecnologia v. 2018, p. 1- 19.
KHOURY, F.; HANSER, T. Three-Dimensional Vertical Alveolar Ridge
Augmentation in the Posterior Maxilla: A 10-year Clinical Study. The
International Journal of Oral & Maxillofacial Implants, 2019.
LOPES, MS; ALMEIDA, MCS; YAMASHITA, RK Implante Dentário Imediato
com Enxerto Ósseo: Uma Revisão de Literatura. Revista de Cirurgia e
Implantodontia Oral, v. 11-20.
PÉNZES, D.; SIMÃO, F.; MIJIRITSKY, E.; NÉMETH, O.; KIVOVICS, M. Uma
técnica modificada de divisão de crista usando blocos ósseos autógenos
— uma série de casos. Revista de Cirurgia Oral e Maxilofacial , v. 1-15.
ROCHA, JF; OLIVEIRA, JCS; RAMOS, JWN; ARAÚJO FILHO, JCWP;
GONÇALVES, ES; HOCHULI-VIEIRA, E.; CARVALHO, PSP Enxerto Ósseo
Mandibular, Complicações Associadas às Áreas Doadoras e Receptores, e
Sobrevivência de Implantes Dentários: Um Estudo Retrospectivo. Revista
Brasileira de Implantodontia e Prótese Oral, v. 65-74.
SÁNCHEZ-SÁNCHEZ, J.; PICKERT, FN; SÁNCHEZ-LABRADOR, L.;
MARTÍNEZ- GONZÁLEZ, JM; MENIZ GARCÍA, C. Aumento Horizontal da
Crista Óssea: Uma Comparação entre as Técnicas de Khoury e Urbanas.
Revista Internacional de Implantodontia , v. 91-103
SAKKAS, A.; WILDE, F.; HEUFELDER, M.; WINTER, K.; SCHRAMM, A.
Enxertos ósseos autógenos em implantodontia oral — ainda são um
“padrão ouro”? Uma revisão consecutiva de 279 pacientes com 456
procedimentos clínicos. Journal of Cranio- Maxillofacial Surgery, 2017.
SCHROPP, L.; WROE, M.; BORGES, T.; BODLE, C. Bone Healing and Soft
Tissue Contour Changes Following Single-Tooth Extraction: A Clinical and
Radiographic 12- Month Prospective Study. International Journal of
Periodontics & Restorative Dentistry, 2003.
VOSS, JO; DIEKE, T.; BONECA, C.; SACHSE, C.; NELSON, K.; RAGUSE, JD;
NAHLES, S. Análise retrospectiva de longo prazo das alterações do nível
ósseo após acompanhamento da crista alveolar horizontal com enxertos
ósseos autólogos encontrados na região posterior da mandíbula. Revista
de Periodontia , v. 2016, p. 203-215.
¹Graduanda em Odontologia pelo Centro Universitário São Lucas, 2025.
¹Graduanda em Odontologia pelo Centro Universitário São Lucas, 2025.
²Especialista em Cirurgia Bucomaxilofacial – HRC/ UNINASSAU; Docente
no Centro Universitário São Lucas.
³Mestrado em Odontologia, Universidade Estadual Paulista (UNESP);Docente do Centro Universitário São Lucas.
⁴Mestre em Odontologia, Universidade de Taubaté; Docente do CentroUniversitário São Lucas.
⁵Mestrado profissional em Odontologia, Instituto Latino Americano de
Pesquisa e Ensino Odontológico; Docente no Sistema Odontológico de
Estudo e Pesquisa – SOEP
⁶Mestrado profissional em Odontologia, Centro de Pesquisas
Odontológicas São Leopoldo Mandic; Docente na SOEP
⁷Especialista em Ortodontia pela SOEP.
⁸Doutor em Implantodontia, Universidade Guarulhos; Docente no
Sistema Odontológico de Estudo e Pesquisa – SOEP



